Строение семяпровода моллюсков семейства Viviparidae

 

Строение семяпровода моллюсков семейства Viviparidae
 
Мужской отдел половой системы включает семяпровод, простату и копулятивный орган. Происхождение пениса неясное [см. Миничев, Старобогатов, 1971], но, по крайней мере, он не замещает правое щупальце.
 
Семяпровод начинается после отделения от ренального гонодукта паллиального яйцевода. Его стенка составлена низкопризматическим ресничным эпителием, подстилаемым базальной пластинкой и соединительнотканными волокнами. Высота ресничных клеток в начальном участке от 9 до 15-17 мкм, их ядра овальные, диаметром (5-6) х 3,5 мкм, длина ресничек 5-6 мкм. Согласно некоторым данным [для Cincinna piscinalis Cleland, 1954], начальный участок семяпровода принимает широкий проток простаты. В то же время у С. macrostoma соединение семяпровода и протока простаты отмечено намного дистальнее, что ближе к схеме Гарно [Gamault, 1889, 1890].
 
Дистальный участок семяпровода (vas deferens) еще в месте соединения мантийной крыши со стенкой тела имеет желобок, выстланный в основном высокопризматическими клетками с длинными ресничками, с некоторым количеством железистых клеток. Позднее реснички становятся короче, а железистые клетки многочисленнее. После принятия протока простаты семяпровод плавно суживается и идет вперед в стенке тела с правой стороны к пенису. По всей длине этот проток окружен тонким слоем соединительнотканных и далее кольцевых мышечных волокон, снаружи от которых косые мышечные волокна. Семяпровод проходит через пенис и открывается на его конце мужским половым отверстием.
 
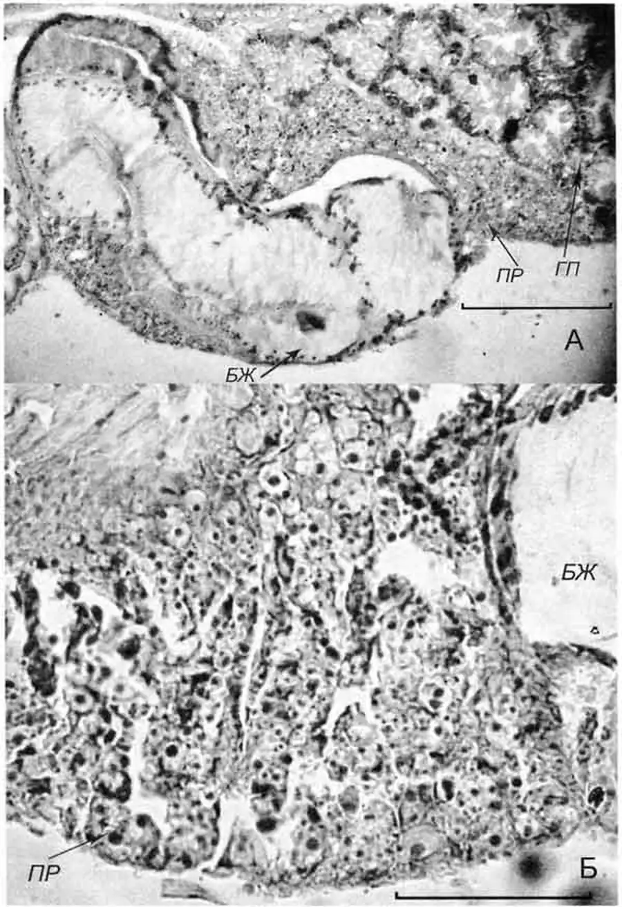
Cincinna macrostoma (Steenbuch) (D 6,0 мм; 18.07.2005): поперечные срезы через проксимальный (А) и средний (Б) участки простаты
 
Cincinna macrostoma (Steenbuch) (D 6,0 мм; 18.07.2005): поперечные срезы через проксимальный (А) и средний (Б) участки простаты; БЖ - капсульная («белковая») железа; ГП- гепатопанкреас; ПР - простата. Масштабные линии - 100 мкм