Подкласс Саркоспоридии (Sarcosporidia)

 

Подкласс Саркоспоридии (Sarcosporidia)
 
Внутриклеточные паразиты поперечнополосатой мускулатуры млекопитающих (лошадей, рогатого скота, кроликов, мышей, крыс, собак, очень редко человека), некоторых птиц и рептилий.
 
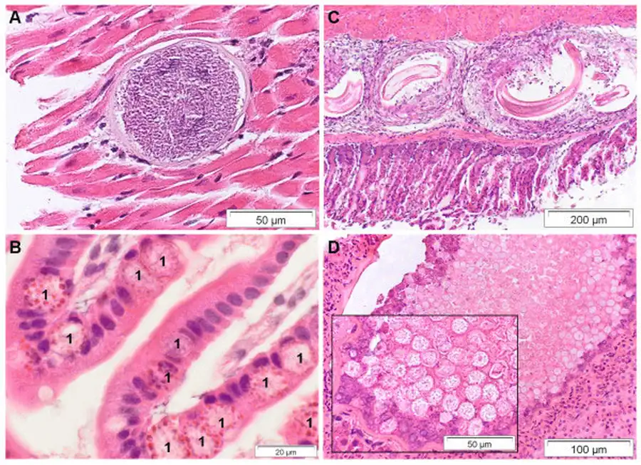
Саркоспоридии образуют в мускулатуре большие беловато-серые удлиненные или круглые тела, видимые простым глазом. Эти тела окружены характерной двойной оболочкой, верхний слой которой состоит из большого количества параллельных палочек.
 
Молодые одноядерные или двухъядерные формы попадают в поперечнополосатые мускульные клетки, начинают там энергично размножаться и окружаются описанной выше оболочкой. Внутри оболочки образуются споры, имеющие характерную для саркоспоридий серповидную форму и лишенные спиральной нити.
 
Естественный путь заражения не выяснен. Экспериментально можно заразить животное, дав ему поесть мясо, содержащее цисты саркоспоридий.
 
Саркоспоридии очень широко распространены, но хозяйственное значение их невелико, так как .особого вреда они не приносят. Только при очень сильном заражении скота может произойти студневидное перерождение мяса, которое становится непригодным для употребления в пищу.
 
У свиней Sarcocystis mescheriana иногда может вызвать параличи. S. tenella распространенный паразит овец; S. muris — мышей. У человека несколько раз описывалась S. lindemanni. Патогенное значение ее неясно.
 
Sarcocystis lindemannii из гортани
 
Sarcocystis lindemannii из гортани. I — продольный разрез; II — поперечный разрез пораженного мышечного волокна