Лейшмании паразитируют внутри клеток

 

Лейшмании паразитируют внутри клеток
 
Передача инфекции от одного хозяина другому при посредстве укуса переносчика (промежуточного хозяина) носит название трансмиссивной передачи, а такие заболевания называются трансмиссивными.
 
В Средней Азии и на Нижней Волге в крови лошадей, верблюдов, в меньшей степени ослов и рогатого скота паразитирует Т. evansi, вызывающая «суауру» — опасное заболевание, особенно лошадей и верблюдов, выражающееся в лихорадке, анемии и отеках.
 
Переносчиками инфекции являются различные слепни (Tabanidae) и некоторые кровососущие мухи (Stomoxys, Lyperosia). При укусе трипанозомы вместе с кровью больного животного попадают на хоботок слепня, и, если он в течение 15 мин укусит другое здоровое животное, то трипанозомы попадут в кровь и вызовут заболевание.
 
Повсеместно, в частности и в СССР, распространена «случная болезнь» лошадей, характеризующаяся отеком гениталий, истощением и появлением плоских бляшек на коже. Она вызывается Т. equiperdum и передается от лошади к лошади при половом акте. При этой болезни поражаются центральная нервная система и нервы задних конечностей. Trypanosoma cruzi — возбудитель южноамериканской болезни «чагас»; переносчик его — клоп Triatoma megistra, природный резервуар — броненосцы, двуутробки и др.
 
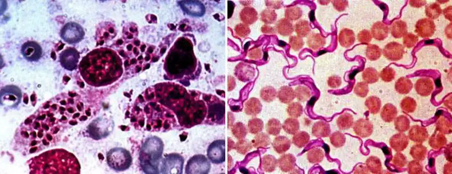
Т. brucei — возбудитель африканской болезни «нагана», поражающей рогатый скот, ослов, верблюдов (рис. 30); переносчик — муха Glossina morsitans.
 
Trypnnosoma brucei.
 
Trypnnosoma brucei. I — нормальная форма и крови; II, III —стадии деления:
1 — ядро, 2—блефаропласт, 3 — базальное зерно жгутика, 4 — ундулирующая мембрана. 5 — жгугик
 
Различные представители рода Leischmania являются внутриклеточными паразитами позвоночных животных.
 
Leischmania tropica вызывает кожное заболевание человека, выражающееся в образовании узлов, язв или поражений слизистых оболочек. Через несколько недель или иногда месяцев после проникновения лейшманий в организм человека на коже появляются язвы, которые медленно заживают, оставляя обезображивающий рубец. L. tropica была открыта в 1898 г. П. Ф. Боровским в Ташкенте.
 
Лейшмании паразитируют внутри клеток, где имеют округлую или овальную форму. Сбоку или ближе к центру лежит крупное ядро. Перед ядром расположен палочковидный блефаропласт, от которого отходит к периферии тонкая нить. Свободного жгутика у внутриклеточных форм лейшманий нет.
 
В организме переносчика и при культивировании па искусственной питательной среде лейшмании превращаются в веретеновидные формы и восстанавливают длинный жгут. Переносчиками лейшманий служат москиты из рода флеботомус (Phlcbotoimis).