
Синоним: Eurytrema skrjabini Issaitschikoff, 1920
Хозяин: жулан (Enneoctonus collurio = Lanius collurio).
Локализация: желчный пузырь.
Место обнаружения: СССР (Ростовская область).
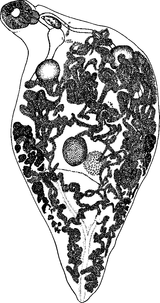
Описание вида (по Исайчикову, 1920). Тело паразита листовидное и почти веретенообразное. Начиная от области ротовой присоски оно постепенно становится шире, достигая своей максимальной ширины 2,079 мм в промежутке между семенниками и яичником; от области яичника паразит постепенно суживается, образуя как бы хвостовой придаток. Длина единственного экземпляра 4,466 мм.
Ротовая присоска круглой формы, 0,370 мм в диаметре. Брюшная присоска помещается в передней трети тела паразита, в промежутке между семенниками. Размера ее не удалось выяснить. Шаровидный фаринкс достигает 0,139 мм длины при ширине 0,154 мм. Весьма короткий пищевод делится на две кишечные ветви, которые в дальнейшем своем следовании к заднему концу тела весьма значительно расходятся друг от друга и идут недалеко от боковых краев червя. Они узки, слабо волнисты и своими слепыми концами не достигают заднего конца тела паразита.
Половое отверстие (по Штрому, просмотревшему типичный экземпляр) расположено вблизи фаринкса, кпереди от бифуркации кишечных ветвей; тут же в косом направлении к срединной линии тела располагается и довольно длинная цилиндрическая половая бурса. Оба поперечно-овальных цельнокрайных семенника располагаются на одной горизонтальной линии в передней половине тела, почти посередине между яичником и ротовой присоской, причем они довольно значительно удалены друг от друга. Пространство между ними в значительной степени заполнено петлями матки. Длина семенников 0,300—0,308 мм, а ширина 0,345 мм.

Skrjabinosomum porrectum (Braun, 1899) Evranova, 1944 (по Брауну, 1902)

Skrjabinus skrjabini (Issaitschikoff, 1920) (по Исайчикову, 1920)