Строение овидукта моллюсков семейства Viviparidae

 

Строение овидукта моллюсков семейства Viviparidae
 
Близкие к ним по размерам железистые клетки второго вида, расположенные группами на внутренней перегородке органа, окрашены ярче они имеют меньше таких же бледных вакуолей, причем последние мельче.
Между клетками первого и второго видов располагаются клиновидные ресничные клетки - очень узкие в базальной части и умеренно широкие в апикальном участке, с палочковидными ядрами. Предположительно, первый и второй виды клеток формируют синкапсульный матрикс. Возможно, это один вид клеток, но разной активности; примерно такое предположение сделала Ситникова [1984].
 
Cincinna macrostoma (Steenbuch) (D 6,1 мм; 26.07.2004): поперечные срезы через дистальный (А) и средний участки паллиальной части овидукта
 
Cincinna macrostoma (Steenbuch) (D 6,1 мм; 26.07.2004): поперечные срезы через дистальный (А) и средний участки паллиальной части овидукта; Б - бурса; БЖ - дистальный участок капсульной («белковой») железы; В - вагина; К - задняя кишка; ПБ} - дистальный проток бурсы; СЖ - синкапсульная железа (на фрагменте Б - 3 основных вида железистого эпителия). Масштабные линии - 200мкм
 
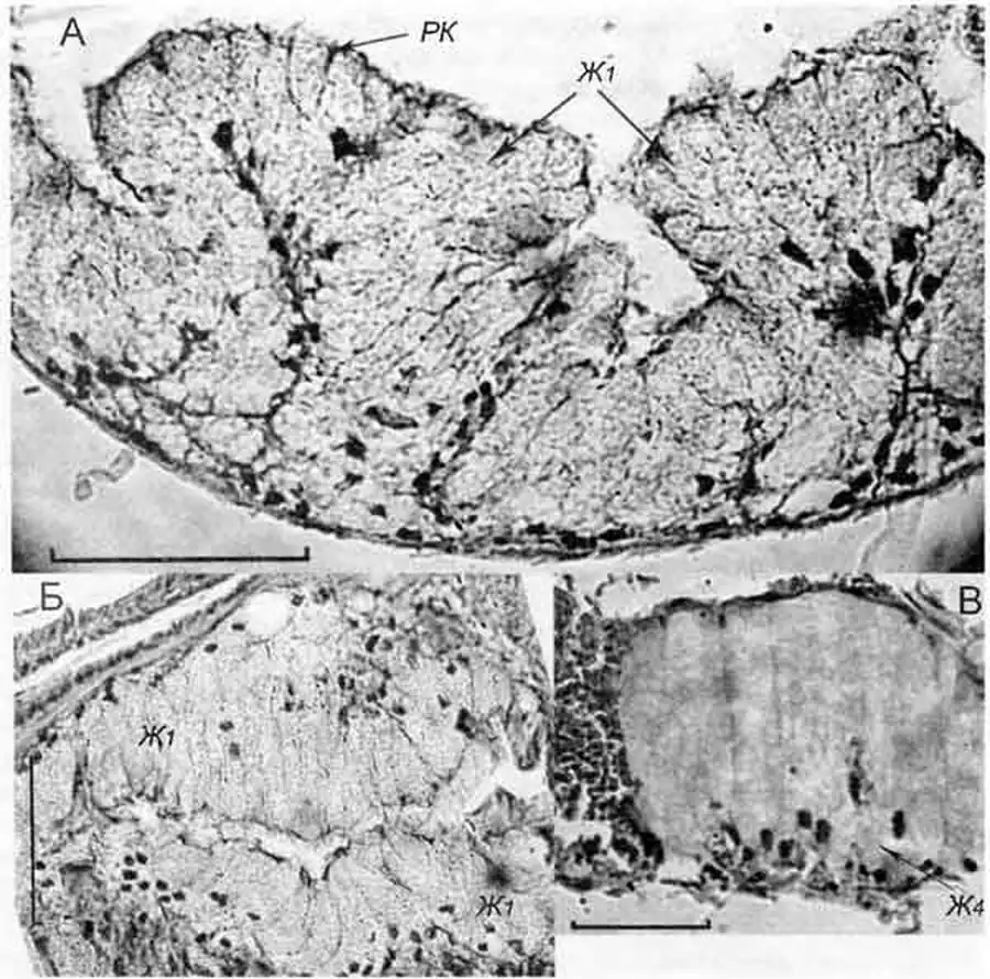
Cincinna macrostoma (Steenbuch) (D 6,0 мм; 18.07.2005): поперечные срезы через дорзальный «карман» (А) и перегородку между «карманами» (Б) синкапсульной железы
 
Cincinna macrostoma (Steenbuch) (D 6,0 мм; 18.07.2005): поперечные срезы через дорзальный «карман» (А) и перегородку между «карманами» (Б) синкапсульной железы; Ж1 Ж2, Ж3 - три вида железистых клеток; П1 и П2- полости железы; РК- ресничные клетки. Масштабные линии - 100 мкм
 
Cincinna macrostoma (Steenbuch) (D 6,0 мм, 18.07.2005): поперечные срезы через участки вентрального «кармана» (А и Б) и дистальный участок (В) синкапсульной железы
 
Cincinna macrostoma (Steenbuch) (D 6,0 мм, 18.07.2005): поперечные срезы через участки вентрального «кармана» (А и Б) и дистальный участок (В) синкапсульной железы; Ж1 и Ж4 — два вида железистых клеток; РА-- ресничные клетки. Масштабные линии - 100 мкм (А, Б) и 50 мкм (В)
 
Третий вид клеток в дорзальном участке синкапсульной железы образует мощную, толщиной до 180 мкм, в отдельных местах до 440—460 мкм, зону Эти высокопризматические клетки содержат в цитоплазме многочисленные, четко различимые капельки интенсивно окрашиваемого секрета. Высота клеток варьирует и чаще достигает 35—40 мкм при ширине 11-15 мкм; в отдельных случаях их протяженность в полость органа до 67 мкм. Ядра крупные (максимальные размеры 19,0 х 9,2 мкм, базально расположенные. В стенке органа клетки формируют складки с узкими протоками без ресничных клеток. Этот вид железистого эпителия напоминает таковой в капсульной железе Theodoxus fluviatilis и Lithoglyphus naticoides (см. главы 1 и 2).
 
Четвертый вид железистых клеток располагается вблизи от выхода из синкапсульной железы. По размерам и форме они близки к клеткам первых двух видов, однако бледное содержимое их вакуолей - более оптически плотная и, похоже, более вязкая масса.
 
Все виды железистых клеток располагаются на базальной мембране, подстилаемой небольшим количеством промежуточного вещества и волокон соединительной ткани.
 
Синкапсульная железа открывается в вагину недалеко от женского полового отверстия в мантийную полость.