Железистые и ресничные клетки моллюсков семейства Viviparidae

 

Железистые и ресничные клетки моллюсков семейства Viviparidae
 
В дистальной части органа, вблизи от места соединения с синкапсульной железой, есть железистые клетки третьего типа: весьма крупные, до 85 мкм высотой и около 20 мкм толщиной - тоже высокопризматические, но более широкие, с зернистой цитоплазмой из-за многочисленных мелких, со светлым секретом вакуолей.
Железистые клетки всех типов чередуются с ресничными клетками клиновидной формы такими же высокими, но на большем протяжении узкими и расширяющимися в апикальном, несущем реснички участке. Длина ресничек достигает местами 21 мкм, но чаще 15-17 мкм.
 
Железистые и ресничные клетки подстилаются тонкой опорной пластинкой. В складках ее дополняют волокна соединительной ткани и малочисленные мышечные клетки.
 
Следует отметить, что, в отличие от белковой железы других гастропод, у затворок этот орган не выделяет питательной жидкости, в которую обычно погружается яйцеклетка: вырабатываемые здесь вещества формируют мощную мукоидную [Cleland, 1954: содержимое вакуолей окрашивается муцикармином], возможно, с добавлением конхиолина, оболочку яйцевой капсулы; из них же формируются халазы, соединяющие яйцевые капсулы в один тяж. Именно поэтому применительно к органу автором использован термин капсульная железа.
 
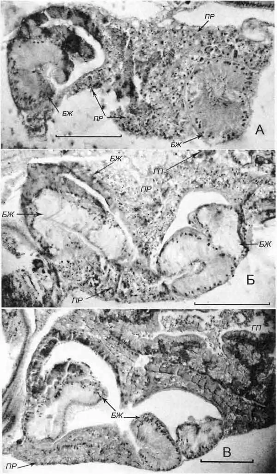
Cincinna macrostoma (Steenbuch) (D 6,1 мм, 26.07.2004): поперечные срезы через дистальный (А) и средний (Б, В) участки капсульной железы
 
Cincinna macrostoma (Steenbuch) (D 6,1 мм, 26.07.2004): поперечные срезы через дистальный (А) и средний (Б, В) участки капсульной железы; БЖ - капсульная («белковая») железа; ГП- гепатопанкреас; ПР - простатическая железа. Масштабные линии - 200 мкм
 
Cincinna macrostoma (Steenbuch) (D 6,1 мм, 26.07.2004): А и Б - поперечные срезы через два канала петли капсульной железы
 
Cincinna macrostoma (Steenbuch) (D 6,1 мм, 26.07.2004): А и Б - поперечные срезы через два канала петли капсульной железы; ЖК1, ЖК2 - различные виды железистых клеток; П - простата; РК ресничные клетки. Масштабные линии - 50 мкм (А) и 100 мкм (Б)
 
Cincinna macrostoma (Steenbuch) (D 6,1 мм; 26.07.2004): поперечные срезы через дистальные участки капсульной железы
 
Cincinna macrostoma (Steenbuch) (D 6,1 мм; 26.07.2004): поперечные срезы через дистальные участки капсульной железы; ЖК2 и ЖК3 различные виды железистых клеток; ПП- проток простаты; СД- семяпровод. Масштабные линии - 100 мкм