Гермофродитный проток моллюсков семейства Viviparidae
Согласно литературным данным [Furrow, 1935, Ситникова, 1982, 1983б], формирование мужской и женской зон в гонаде начинается одновременно: изученные представители семейства Valvatidae одновременные гермафродиты, хотя и с короткой функциональной протерандрией.
Следует отметить, что протерандрия у большинства групп подкласса Pectinibranchia отличается от таковой у пресноводных пульмонат у первых мужская и женская фазы последовательно сменяют одна другую с небольшим периодом перекрывания [Le Gall, Streiff, 1975]. У некоторых американских видов семейства Valvatidae [Furrow, 1935 Tropidina tricarinata (Say)] функциональная протерандрия дополняется цикличностью гаметогенеза. оогенез и сперматогенез начинаются одновременно, развитие мужских гамет идет быстрее и ко времени овуляции гонада оказывается свободной от сперматозоидов; после удаления ооцитов из ацинусов гонада вновь постепенно приобретает исходную картину и гаметогенез повторяется с той же последовательностью. Вместе с тем протерандрия у байкальских [Ситникова, Побережный, 1982, Ситникова, 19836, 1984] и, похоже, у европейских Valvatidae (наши наблюдения) напоминает протерандрию изучавшихся Lymnaeiformes: развитие яйцеклеток и сперматозоидов идет параллельно. Гаметогенез в теплое время года асинхронный, вследствие чего рядом можно обнаружить оогонии и ооциты разного размера. Аналогично в теплое время года в разных участках любого из мужских ацинусов можно видеть разные стадии сперматогенеза.

Cincinna macrostoma (Steenbuch) (D 6,1 мм; 26.07.2004): поперечный срез через гермафродитный проток; С - сперматозоиды; СГП стенка гермафродитного протока. Масштабная линия -50 мкм
Гермафродитный проток продолжает центральную полость гонады, в которую открываются ацинусы. После выхода из гонады он перемещается на приколумеллярную сторону туловищного мешка. Клеланд [Cleland, 1954] отмечает у Cincinna piscinalis разделение полости гонады и гермафродитного протока небольшим сосочком. Начальный диаметр протока сравнительно небольшой: примерно 85 х 60 мкм. Основу внутренней выстилки составляют низкопризматические (кубические или близкие к ним по форме) железистые клетки высотой 9-12 мкм, с крупными овальными, базально лежащими ядрами (их длина до 6 мкм, ширина - около 4 мкм) и бледной, слабо сетчатой цитоплазмой. Между ними располагаются примерно такой же высоты, но высокопризматические (узкие) ресничные клетки с палочковидными ядрами и пучками достаточно длинных, до 20 мкм, ресничек. Глубокий слой толщиной от 4 до 8,5 мкм составляют лежащие под базальной мембраной волокна соединительной ткани и немногочисленные гладкие мышечные клетки; далее следует рыхлая соединительная ткань. Общая толщина стенки около 20 мкм. В полости гермафродитного протока на гистологических срезах почти всегда удается наблюдать сперматозоиды.

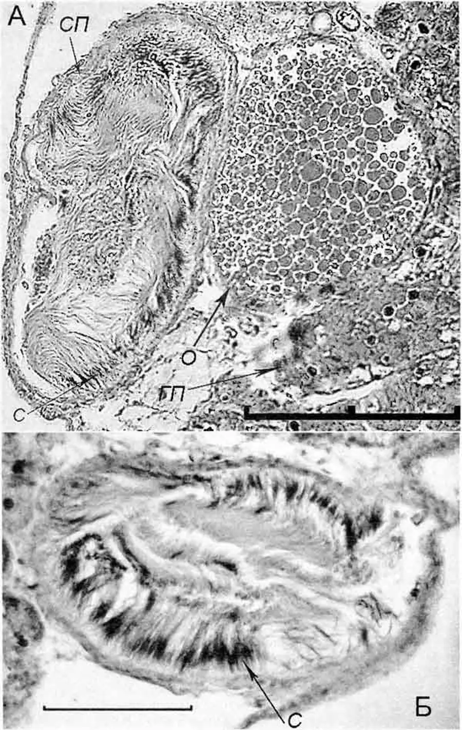
Cincinna macrostoma (Steenbuch) (A - D 6,1 мм; 26.07.2004; Б - D 6,0 мм; 26.07.2004): поперечные срезы через семенной пузырек; ГП гепатопанкреас; О - ооцит; С - сперматозоиды; СП - стенка семенного пузырька. Масштабные линии - 200 мкм (А) и 100 мкм (Б)