Строение гермафродитной железы моллюсков семейства Viviparidae

 

Строение гермафродитной железы моллюсков семейства Viviparidae
 
Зрелые яйцеклетки намного крупнее яйцеклеток у других пресноводных гастропод, в том числе у превышающих затворок по дефинитивным размерам.
На гистологических срезах параметры 19 наиболее крупных яйцеклеток, отмеченных в гонаде моллюсков (проба от 26.07.2004), составили: длина 261,5±3,39 мкм (238-282 мкм), ширина 195,8±3,57 мкм (169-218 мкм). Ядро овальное; его размеры у одного из самых крупных ооцитов, находящихся на стадии вителлогенеза, 50,4 х 35,5 мкм. Амфинуклеолус в ядре одной из таких клеток имел длину 26,0 мкм и толщину в самой широкой части 17,1 мкм (наиболее крупные размеры), в другом ооците соответственно 23,4 мкм и 15,5 мкм.
 
Ацинусы, в которых образуются сперматозоиды, имеют диаметр от 90 до 150 мкм и построены из такого же эпителия, как и женские фолликулы, но они открыты в гермафродитный проток постоянно. Сперматоциты формируют хорошо различимые гроздья на клетках Сертоли. Какой-либо приуроченности разных стадий сперматогенеза к конкретному участку ацинуса нет.
 
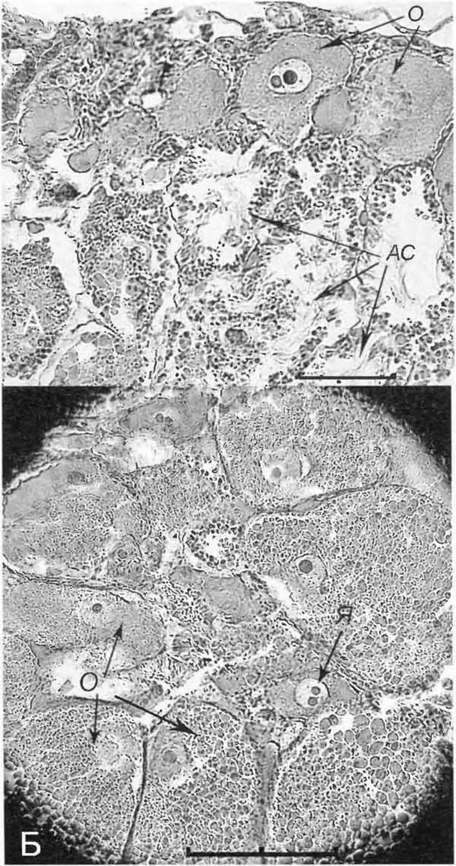
Cincinna macrostoma (Steenbuch): срезы через гермафродитную железу
 
Cincinna macrostoma (Steenbuch): срезы через гермафродитную железу; А - косой срез через среднюю часть гонады (D 6,1 мм; 26.07.2004); Б - поперечный срез через апикальный участок (D 6,0 мм; 18.07.2005); АС - ацинусы, в которых протекает сперматогенез; О ооциты; Я ядро ооцита. Масштабные линии - 100 мкм (А) и 200 мкм (Б)
 
Cincinna macrostoma (Steenbuch) (D 6,1 мм; 26.07.2004): фрагмент поперечного среза через гермафродитную железу
 
Cincinna macrostoma (Steenbuch) (D 6,1 мм; 26.07.2004): фрагмент поперечного среза через гермафродитную железу; А1 и А2 — ацинусы, в которых протекает сперматогенез; О — ооциты на разных стадиях развития; С - сперматозоиды; СЦ - клоны сперматоцитов. Масштабная линия - 100 мкм
 
Полиморфизма сперматозоидов у С. macrostoma не обнаружено, хотя у некоторых видов такое явление имеет место [см.. Furrow, 1935, Ситникова, 1984].