Копулятивный аппарат моллюсков Viviparidae
Между соединительнотканной стромой и мышечным слоем справа от семявыводящего канала проходит эластический тяж, не отмеченный Павлюченковой и Яковлевой [1991].
Вместе с тем он хорошо вычленяется при препарировании копулятивного органа. Его длина чуть меньше длины полового щупальца. На поперечном срезе он овальный, ширина у основания приближается к 200 мкм при толщине около 95 мкм, к дистальному участку параметры постепенно уменьшаются до примерно 50 х 30 мкм. Тяж построен из плотной соединительной ткани. Снаружи он покрыт четко обозначенной, хорошо прокрашивающейся мембраной и разной формы клетками, похожими по форме и строению на фиброциты и фибробласты, уложенными хаотично и составляющими примерно один или два ряда. Внутри - правильно (продольно) уложенные волокна соединительной ткани с преобладанием эластических тонких, в покое спиралевидных. Коллагеновые волокна имеют максимальную толщину 6,8-7,1 мкм. Тяж выполняет сугубо механическую функцию, после вытягивания щупальца возвращая его в прежнее состояние.

Contectiana contecta (Millet) (H 26,1 мм (А) и H 25,4 мм (Б); 27.05.2009): фрагменты поперечных срезов через средние участки копулятивного аппарата; БО - базофильное образование; ЖК - железистый эпителий; КМ - кольцевые мышечные волокна; МЦ - меланоциты в строме; РМ - разнонаправленные мышцы; СТ рыхлая соединительнотканная строма; ЭТ - эластический тяж. Масштабные линии - 100 мкм
Contectiana contecta (Millet) (H 26,1 мм (А) и 26,5 мм (Б); 27.05.2009): фрагменты поперечного (А) и продольного (Б) срезов через копулятивный аппарат; ЖК - железистый эпителий; КМ - кольцевые мышечные волокна; МЦ - участок стромы с меланоцитами; ОП опорная пластинка; ПВ - пениальное влагалище; ПЭ - покровный эпителий; СТ рыхлая соединительнотканная строма; ЭТ- эластический тяж. Масштабные линии - 200 мкм (А) и 300 мкм (Б)
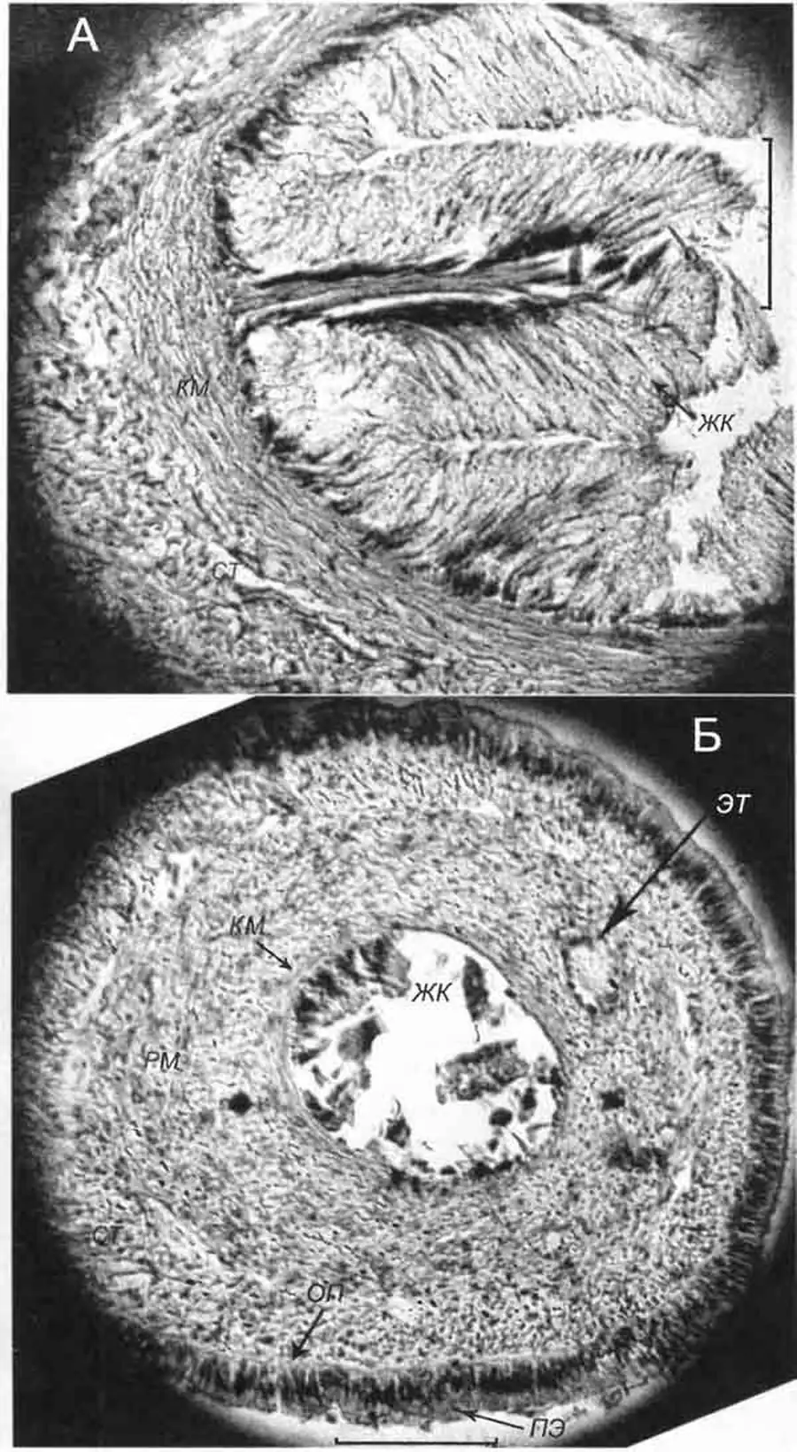
Contectiana contecta (Millet) (H 26,1 мм (А) и H 25,4 мм (Б); 27.05.2009): фрагменты поперечных срезов через дистальные участки копулятивного аппарата; ЖК - железистый эпителий; КМ - кольцевые мышечные волокна; ОП - опорная пластинка; СТ - рыхлая соединительнотканная строма; ЭТ- эластический тяж. Масштабные линии - 100 мкм
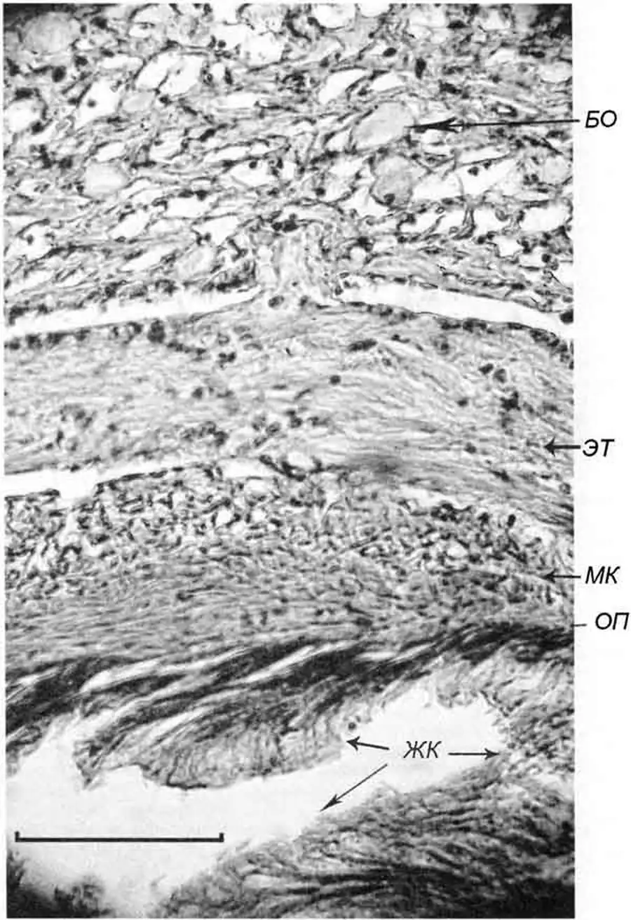
Contectiana contecta (Millet) (H 26,5 мм; 27.05.2009): фрагмент продольного среза через копулятивный аппарат; БО - базофильное образование соединительнотканной стромы; ЖК железистые клетки; МК - мышечные волокна; ОП - опорная пластинка; ЭТ - эластический тяж. Масштабная линия -100 мкм