Строение мужской половой системы моллюсков Viviparidae

 

Строение мужской половой системы моллюсков Viviparidae
 
Морфологию и гистологическое строение всех других участков мужской половой системы моллюсков семейства Viviparidae подробно описали Павлюченкова и Яковлева [1991].
Результаты проведенных автором исследований в главном совпадают с их описаниями, но позволяют дополнить и уточнить их, а также проиллюстрировать не рисунками, а фотографиями.
 
Contectiana contecta
 
Contectiana contecta (Millet) (Н 25,5 мм; 28.06.2004): фрагменты поперечных срезов через ацинусы семенника; ГЭ герминативный эпителий (стенка ацинуса); С - сперматозоиды; СТ - сперматиды; СЦ- сперматоциты). Масштабные линии - 50 мкм
 
Contectiana contecta
 
Contectiana contecta (Millet) (H 25,5 мм; 28.06.2004): фрагменты поперечных срезов через ацинусы семенника со сформированными сперматозоидами; ГС - спиральные головки эупиренных сперматозоидов. Масштабные линии - 50 мкм
 
Contectiana contecta
 
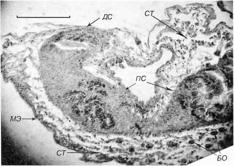
Contectiana contecta (Millet) (Н 26,1 мм; 27.05.2009): фрагмент продольного среза через семяпровод; БО - базофильные образования; ДС - дистальный участок семяпровода; МЭ - многорядный эпителий; ПС проксимальный участок семяпровода; СТ - рыхлая соединительнотканная строма. Масштабная линия - 300 мкм
 
Contectiana contecta
 
Contectiana contecta (Millet) (H 26,1 mm, 27.05.2009): фрагмент продольного среза через проксимальный участок семяпровода; БО - базофильные образования; КМ- кольцевые мышечные волокна; ПЭ - покровный эпителий; СПЭ складки высокого призматического железистого эпителия; СТ — рыхлая соединительнотканная строма. Масштабная линия - 300 мкм
 
Семяпровод состоит из двух участков, соединенных V-образно. Его проксимальная часть, расширенная и внутри складчатая, является накопителем зрелых сперматозоидов, относительно узкая дистальная - каналом для их выведения. Стенка семяпровода [Павлюченкова, Яковлева, 1991, наши данные] в обоих участках состоит из железистого эпителия, мышечной и соединительнотканной оболочек, отделенных от окружающих тканей эпителиальной стенкой.