Строение семенника моллюска Contectiana
В теплое время года активность сперматогенеза очень высока, вследствие чего можно наблюдать митотические деления с установкой в экваториальной плоскости всех 14 хромосом [о кариотипах некоторых вивипарид см. Павлюченкова, 1997а].
Вступая в стадию созревания, сперматогонии связываются с особыми питающими клетками (клетки Сертоли), возможно, также отделившимися от герминативного эпителия [в частности, для легочных моллюсков этот факт подтверждают- Barth, Jansen, 1960, 1962; Joosse, Reitz, 1969]. Питающие клетки контактируют непосредственно с базальной пластинкой, имеют светлые зернистые ядра. Павлюченкова и Яковлева [1991] отмечают конусовидную форму этих клеток. У половозрелых особей на протяжении лета сперматогенез асинхронный: в разных участках любого из ацинусов обнаруживаются клетки на разных стадиях сперматогенного цикла. В начале осени (сентябрь) редкими становятся начальные стадии сперматогенеза. Весной (в начале мая) ацинусы содержат большое количество сперматозоидов, готовых к отделению и выведению, и небольшое количество сперматогониальных клеток; другие стадии весьма редкие. Это позволяет предполагать, что в холодное время года сперматогенез замедляется или даже прекращается.

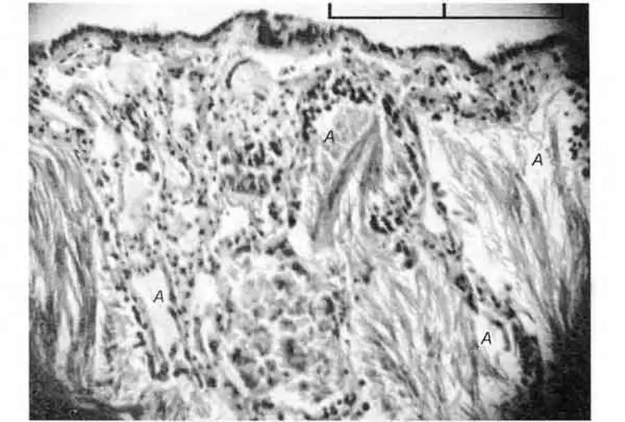
Contectiana listeri (Forbes et Hanley) (H 24,3 мм; 04.05.2004): поперечный срез через семенник в апикальной части туловищного мешка; А - ацинусы. Масштабная линия - 200 мкм
Для Viviparidae свойственен полиморфизм сперматозоидов, впервые наблюдавшийся Зибольдом [Siebold, 1836, цит по: Рузен-Ранге, 1980]. У изученных видов их два типа - эупиренные (типичные) и олигопиренные (атипичные, со сниженным количеством хроматина) [краткое описание морфологии обоих видов сперматозоидов: Павлюченкова, Яковлева, 1991, обсуждение вопроса о возможной биологической роли нетипичной спермы у разных групп гастропод: Fretter, Graham, 1962]. В оплодотворении участвуют только типичные сперматозоиды, имеющие один длинный жгутик и удлиненную спиралевидную головку, хотя оба вида клеток присутствуют как в выводимой самцом сперме, так и в разных участках половой системы самок [Павлюченкова, Яковлева, 1991].