Функциональная морфология мужской половой системы моллюсков рода Bithynia Leach in Abele, 1818
Мужская половая система включает гонаду, семяпровод, простатическую железу и копулятивный аппарат Основная часть семяпровода - гонадиального происхождения, очень малая ренального; копулятивный аппарат паллиальный [Lilly, 1953, Fretter, Graham, 1962].
Bithynia tentaculata (Linnaeus): схема строения мужской половой системы; п - пенис; пж - пениальная железа; пр простата; с семенник; сп - семенные пузырьки; сп1 и сп2 -семяпровод; ф - флагеллюм; мужское половое отверстие. Масштабная линия - 1 мм
Семенник располагается в проксимальной части раковины, над гепатопанкреасом и кнаружи (слева) от него, занимая примерно первые полтора-два витка туловищного мешка. Со стороны раковины он покрыт однослойным, чаще однорядным, реже многорядным эпителием, сначала близким к плоскому, толщиной около 3 мкм, а затем, в дистальных участках - низкопризматическим, 4-5 мкм в высоту Цитоплазма клеток уплотненная, часто наполненная темными глыбками неизвестного вещества (возможно, вещества кутикулы): снаружи, поверх эпителиальных клеток, наблюдается тонкая, не более 1 мкм толщиной, кутикула, иногда кутинизация эпителия значительная, от 2 до 4 мкм. Кутинизация отсутствует или слабо выражена с колумеллярной стороны. Под базальной пластинкой - небольшое количество соединительнотканных волокон и мышечных клеток. Общая толщина покровов -от 4-5 до мкм. Глубже может располагаться рыхлая соединительная ткань, среди ее клеток встречаются клетки с зернами темного пигмента. Пигментные клетки отсутствуют в ткани, ограничивающей гонаду со стороны гепатопанкреаса и других внутренних органов.

Bithynia tentaculata (Linnaeus) (H 8,9 мм; 10.06.2006): топография семенника на поперечном срезе через апикальный участок туловищного мешка; Г - гонада; ГП гепатопанкреас; СП - семенные пузырьки. Масштабная линия 200 мкм
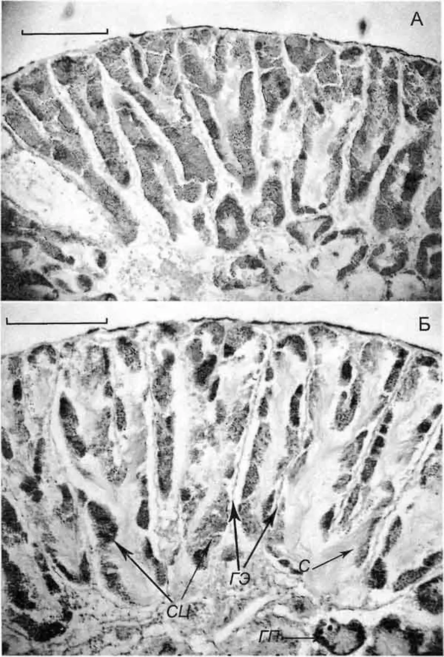
Bithynia tentaculata (Linnaeus) (A - H 8,9 мм; 10.06.2006; Б - Hp 9,1 мм; 17.07 1998): фрагменты поперечных срезов через семенник; ГП - гепатопанкреас; ГЭ - герминативный эпителий (стенка ацинуса); С - сперматозоиды; СЦ - клетки, находящиеся на разных стадиях сперматогенеза. Масштабные линии 200 мкм