Яйцевая капсула Lithoglyphus naticoides

 

Яйцевая капсула Lithoglyphus naticoides
 
Самки Lithoglyphus naticoides откладывают одиночные яйцевые капсулы, как правило, с единственной оплодотворенной яйцеклеткой внутри. Формирование каждой яйцевой капсулы происходит индивидуально.
Оплодотворение овулирующих яйцеклеток скорее всего происходит в яйцеводе, после чего они спускаются в полость капсульной железы. Сюда же поступают секреты желез этого органа - матрикс яйцевой капсулы (перивителлиновая жидкость). Далее в капсульной железе формируются внутренняя тонкая мембрана (возможно, вследствие уплотнения химических компонентов матрикса) и толстая внешняя конхиолиноподобная стенка. Оформление яйцевой капсулы в виде шара и выведение ее наружу происходят благодаря мышечным усилиям стенок капсульной железы. Первоначально клейкие стенки капсулы обеспечивают ее прочную фиксацию на субстрате.
 
Lithoglyphus naticoides
 
Lithoglyphus naticoides (С. Pfeiffer) (H 7,8 мм; 22.08.2005): А и Б - поперечные срезы через различные участки паллиального овидукта; В - вагина; КХ конхиолин; М мышечные волокна; ПЖ- полость железы; РК - ресничные клетки. Масштабные линии - 200 мкм
 
Lithoglyphus naticoides
 
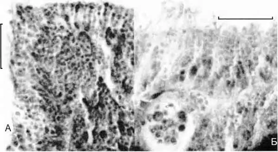
Lithoglyphus naticoides (С. Pfeiffer) (Н 7,8 мм; 22.08.2005): поперечные срезы через железистые участки капсульной железы. Масштабные линии 25 мкм
 
Lithoglyphus naticoides
 
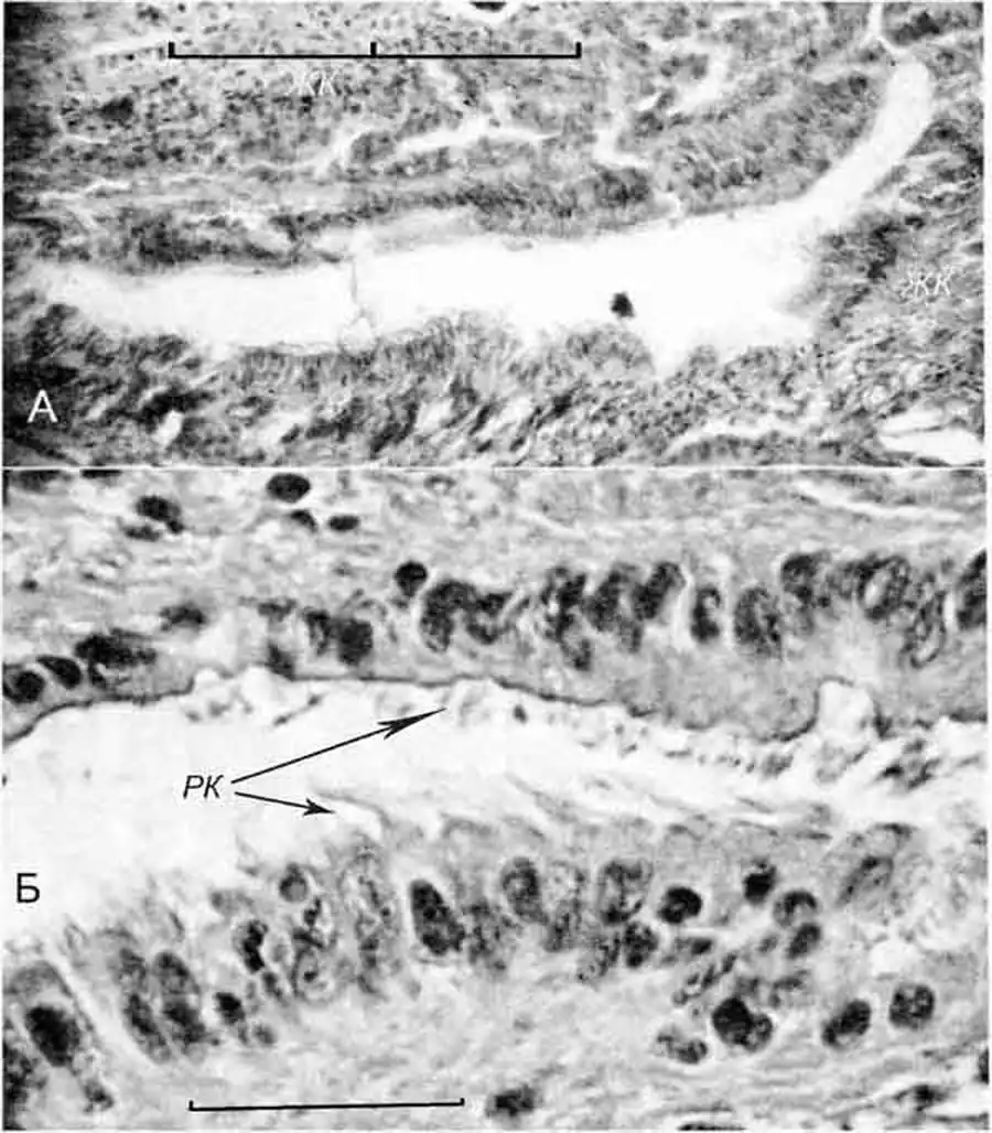
Lithoglyphus naticoides (С. Pfeiffer) (H 8,3 мм; 22.08.2005): А и Б - фрагменты поперечных срезов через участки дистального яйцевода; ЖК — железистые клетки; РК ресничные клетки. Масштабные линии — 200 мкм (А) и 25 мкм (Б)
 
Половая зрелость у самок наступает не ранее начала второго года жизни, а нередко и в третье лето: показателем служит наличие яйцевых капсул или следов от них на раковине, которую самка обычно использует в качестве субстрата для откладки собственных яйцевых капсул.
 
Свежеотложенные яйцевые капсулы чаще появляются с начала июня и до середины июля (на примере популяции р. Днепр в г Смоленске), реже в другое время лета. Это важно для моллюсков, живущих в условиях пониженных температур проточных водоемов и максимально использующих для размножения теплый сезон.
 
Lithoglyphus naticoides
 
Lithoglyphus naticoides (C. Pfeiffer) (H 7,8 мм; 22.08.2005): фрагмент поперечного среза через дистальный участок капсульной железы; Р - реснички; РК - ресничные клетки. Масштабная линия 25 мкм