Субэпителиальные железы Lithoglyphus naticoides

 

Субэпителиальные железы Lithoglyphus naticoides
 
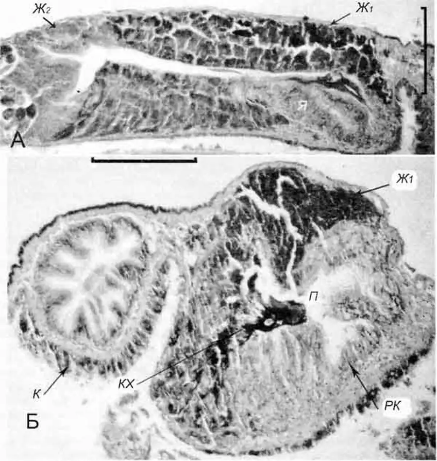
Наиболее многочисленными являются субэпителиальные высокопризматические железистые клетки. Их размеры: высота от 26-28 до 38 мкм, максимальная толщина около 5 мкм, овальное светлое, с зернистостью ядро (5,5-6) х 4 мкм.
В их цитоплазме - малочисленные крупные, до 2-3,5 мкм в диаметре, округлые вакуоли с фиолетово-красным плотным секретом (вероятно, конхиолином или его производным). Один ряд примерно таких же клеток, но чуть крупнее (в высоту до 42-44 мкм), выстилает частично внутреннюю полость. Выделяемое ими вещество в виде бесструктурной плотной массы присутствует в полости железы и служит для построения внешней оболочки капсулы. Железистые клетки этого типа, как и сама глубокая структура железы, очень похожи на таковые в капсульной железе Theodoxus fluviatilis.
 
В полость органа в проксимальном участке, а далее слева открываются протоки субэпителиальных желез, построенных из клеток иного типа - цилиндрических, с базально лежащими округлыми ядрами, имеющих более светлую, но также сильно вакуолизированную цитоплазму. Предположительно, из их секрета формируется матрикс яйцевой капсулы.
 
Lithoglyphus naticoides
 
Lithoglyphus naticoides (С. Pfeiffer) (H 7,8 мм; 22.08.2005): поперечные срезы через капсульную железу в среднем (А) и дистальном (Б) участках; Ж1 - железы, выделяющие плотный секрет; Ж2 - железы, выделяющие светлый секрет; К - кишечник; КХ - конхиолин в полости капсульной железы; П - полость вагинальной части яйцевода; РК - ресничные клетки; Я - яйцевод. Масштабные линии -200 мкм