Яйцевод Lithoglyphus naticoides

Собственно яйцевод состоит из гонадиального и ренального участков, разделенных, согласно данным Круля [Krull, 1935] и Краузе [Krause, 1949], гоноперикардиальным протоком.
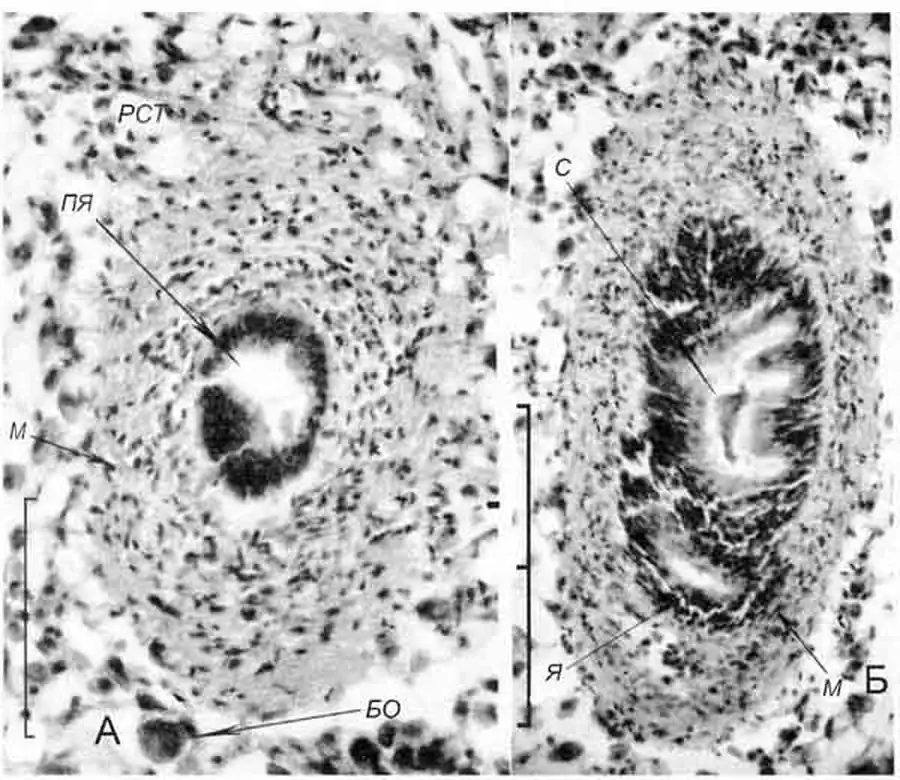
Первый участок относительно короткий, неширокий и проходит вдоль колумеллы среди небольшого количества рыхлой соединительной ткани. Его стенка (толщиной 8-10 мкм) напоминает строение стенки ацинусов и составлена однорядным низкопризматическим эпителием (клетки высотой около 10 мкм), а также расположенным ниже опорной пластинки тонким (5-7 мкм) слоем соединительнотканных, а затем и немногочисленных мышечных волокон. Ядра эпителиальных клеток крупные, овальные, с хорошо видимой зернистостью. Их максимальный диаметр около 6-7 мкм. Диаметр просвета яйцевода при отсутствии в нем яйцеклеток около 30 мкм. Ресничных клеток в выстилке яйцевода здесь нет. Ренальный отдел яйцевода отличается прежде всего увеличенной толщиной стенки: чаще она составляет 15-20 мкм, на отдельных участках за счет утолщения слоя волокон соединительной ткани — до 35 мкм. Средний диаметр яйцевода приближается к 140 мкм (примерно 170 х 100 мкм на срезах). Внутренняя выстилка умеренно высокие (до 18-22 мкм) призматические ресничные клетки с овальными крупными базальными, слабо окрашивающимися ядрами, длина которых до 10 мкм.

Lithoglyphus naticoides (C. Pfeiffer) (H 7,8 мм; 22.08.2005): поперечные срезы через дистальный участок свободного яйцевода (А) и начальный участок семяприемника (Б); БО - базофильное образование; М - мышцы; ПЯ - полость яйцевода; РСТ рыхлая соединительная ткань; С - сперма; Я— яйцевод. Масштабные линии 100 мкм (А) и 200 мкм (Б)
Интересно, что в рыхлой соединительной ткани у самки весьма многочисленны базофильные образования, сходные с таковыми у Viviparidae [Павлюченкова, Яковлева, 1991, см. гл. IV]. Диаметр наиболее крупных из них достигает 37—41 мкм, однако у большинства только от 4 до 10-13 мкм. Они имеют очень четкие края, форма близкая к шаровидной или слабо овальная. Их внутренняя структура или однородная, или с радиальной исчерченностью; часто в центре наблюдается светлая аморфная масса, лишенная четких краев или визуально отделенная; иногда она, наоборот, темная. У самцов базофильные образования в рыхлой соединительной ткани более редкие.