Овогенез Lithoglyphus naticoides
Овогенез у половозрелых особей асинхронный: в пределах любого ацинуса, нередко рядом, располагаются ооциты, находящиеся на разных стадиях формирования (хотя, разумеется, основной объем занимают зрелые клетки); проксимальная часть ацинусов часто занята мелкими оогониями.
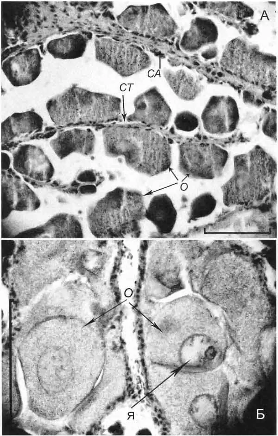
Яйцеклетки своим широким основанием контактируют с герминативным эпителием или даже непосредственно с базальной пластинкой и могут располагаться близко одна к другой. Их перемещения по мере созревания в другие участки ацинусов не происходит.
Форма ооцитов изменчива, у зрелых клеток она обычно неправильная из-за взаимного сдавливания. Оогонии и ранние ооциты располагаются достаточно рыхло, зрелые ооциты уложены плотно и занимают весь просвет ацинуса. Длина и толщина 14 самых крупных овальной формы яйцеклеток на срезах яичника равнялись соответственно 145,6±4,36 мкм (лимиты 121,8-169,05 мкм) и 106,8±3,54 мкм (лимиты 75,65-117,6 мкм). Ядро овальное, у 6 наиболее крупных яйцеклеток его длина составила 61,5±2,83 мкм (лимиты 53,0-69,3 мкм), ширина - 44,5±5,04 мкм (лимиты 34,7-51,95 мкм). Длина амфинуклеолуса до 24,5 мкм, ширина от 16,6 до 20,0 мкм. Следует согласиться с Краузе [Krause, 1949], что фолликулярная оболочка вокруг ооцитов отсутствует: оогенез солитарного типа.

Lithoglyphus naticoides (С. Pfeiffer) (A - H 7,8 мм; Б - H 8,4 мм; 22.08.2005): фрагменты продольного (А) и поперечного (Б) срезов через яичник при разном увеличении; О - ооциты на разных стадиях формирования; СА - стенки ацинуса; СТ - внутренняя перегородка ацинуса; Я - ядро ооцита. Масштабные линии - 200 мкм (А) и 100 мкм (Б)
Lithoglyphus naticoides (С. Pfeiffer) (H 7,8 мм; 22.08.2005): срез через проксимальный участок яйцевода. Масштабная линия - 50 мкм