Половой придаток у Lithoglyphus naticoides

 

Половой придаток у Lithoglyphus naticoides
 
От передней части полости простаты отходит дистальный участок семяпровода, окруженного хорошо развитым слоем кольцевых мышц.
Внутри он выстлан плотно уложенными низкопризматическими ресничными клетками, подстилаемыми базальной пластинкой и небольшим количеством волокон соединительной ткани. Семяпровод слабо изогнут и продолжается далее в копулятивном органе, где проходит асимметрично (сдвинут вправо и свернут спирально).
 
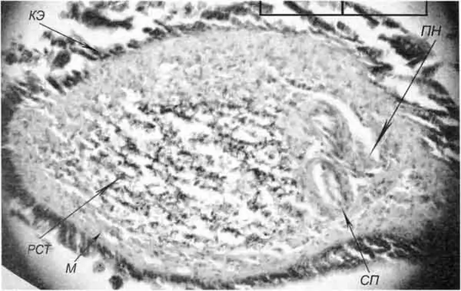
Половой придаток (пенис) у Lithoglyphus naticoides располагается в задней части головы. В неактивном состоянии он заметно сжат в дорзо-вентральном направлении, имеет треугольную форму, длину около 1,5 мм и поперечник около 0,7 мм, завернут назад и спрятан под мантией. Снаружи он покрыт многорядным или (на отдельных участках) однорядным высокопризматическим эпителием, общая толщина которого колеблется в пределах от 15 до примерно 30 мкм. Эпителий кутинизирован, особенно на дорзальной стороне. Краузе [Krause, 1949] обнаружил здесь много железистых клеток. Глубже опорной пластинки лежит слой соединительнотканных волокон (7-10 мкм толщиной), далее рыхлая соединительная ткань с волокнами разного направления и (ближе к центру) многочисленными лакунами, особенно в левой части. В межклеточном пространстве много мелких зерен темного пигмента, отмеченного еще Крулем [Krull, 1935]. Внутри (справа) через придаток, изгибаясь, проходит дистальный участок семяпровода (семяизвергательный канал) с выстилкой из одного ряда низкопризматических ресничных клеток с базальными ядрами. Под опорной пластинкой находится хорошо развитый слой кольцевых мышечных волокон. Он сопровождается пениальным нервом [Krull, 1935, Krause, 1949]. Мужское половое отверстие располагается на вершине небольшой папиллы, которой заканчивается придаток.
 
Половая зрелость самцов наступает на втором году жизни (в его начале или в конце) при высоте раковины 5,0 5,5 мм [Piechocki, 1979]. Спаривание крупных моллюсков автором замечено весной в мае; по некоторым данным [Анистратенко, Стадниченко, 1994], оно продолжается вплоть до первой или даже второй декад июня.
 
Lithoglyphus naticoides
 
Lithoglyphus naticoides (С. Pfeiffer) (H 8,1 мм; 14.06.2004): поперечный срез через половой придаток самца; КЭ покровный эпителий; М - мышечные волокна; ПН - пениальный нерв; РСТ рыхлая соединительная ткань; СП - полость семяпровода. Масштабная линия - 200 мкм