Функциональная морфология мужской половой системы Lithoglyphus naticoides (С. Pfeiffer, 1828)

 

Функциональная морфология мужской половой системы Lithoglyphus naticoides (С. Pfeiffer, 1828)
 
Строение мужской половой системы Lithoglyphus naticoides простое; она включает гонаду, семяпровод, простату и копулятивный орган.
Их происхождение для моллюсков непосредственно семейства Lithoglyphidae в литературе не обсуждалось, но, учитывая данные для других групп отряда Rissoiformes [Johansson, 1956; Fretter, Graham, 1962, Миничев, Старобогатов, 1971], можно предположить, что простата (хотя и располагается в паллиальном участке тела) и основные участки семяпровода имеют ренальное происхождение, а копулятивный орган является паллиальным образованием.
 
Lythoglyphus naticoides
 
Lythoglyphus naticoides (С. Pfeiffer): схема строения мужской половой системы [по: Krause, 1949, с небольшими изменениями]; ксп - клубочек семяпровода (семенные канальца); п - простата; по - половое щупальце; с - семенник; сп, и сп2 - семяпровод; мужское половое отверстие. Масштабная линия - 2 мм
 
В то же время Круль [Krull, 1935] говорит об образовании пениса выпячиванием интегументов головного отдела.
 
Семенник располагается в апикальном участке туловищного мешка в первых двух оборотах раковины. Снаружи он покрыт одним рядом клеток плоского эпителия, толщина которого близка к 3 мкм, или низкопризматических клеток, высота которых приближается к 5 мкм. Клетки имеют дисковидные ядра длиной до 8,5-9,0 мкм и толщиной около 2,5 мкм. Цитоплазма клеток уплотнена, местами в ней можно рассмотреть мелкие зерна темного пигмента. Во втором обороте раковины над гонадой покровный эпителий формирует кутикулу, толщина которой местами доходит до 3—4 мкм. Базальная пластинка очень тонкая и вместе с подстилающими ее соединительнотканными волокнами составляет слой 3-4 мкм толщиной. Местами есть небольшое количество рыхлой соединительной ткани.
 
Орган представляет собой сложную трубчатую железу и состоит из многочисленных пальцевидных ацинусов, которые уложены наподобие лепестков в цветке гвоздики. Проксимальные участки ацинусов обращены к внешней стороне тела. Здесь их диаметр чаще от 100 до 120, реже до 150 мкм. Окраска основной ткани семенника беловатая. Стенка ацинуса - плоский герминативный эпителий, толщина которого составляет чаще всего 3,5-4,3 мкм, иногда приближается к 3 мкм. Ядра клеток дисковидные и на срезах часто выглядят палочковидными, их длина 6-7,7 мкм, толщина до 2,5 мкм. Ацинусы один от другого отделены базальными пластинками и небольшим количеством рыхлой соединительной ткани с лакунами для гемолимфы.
 
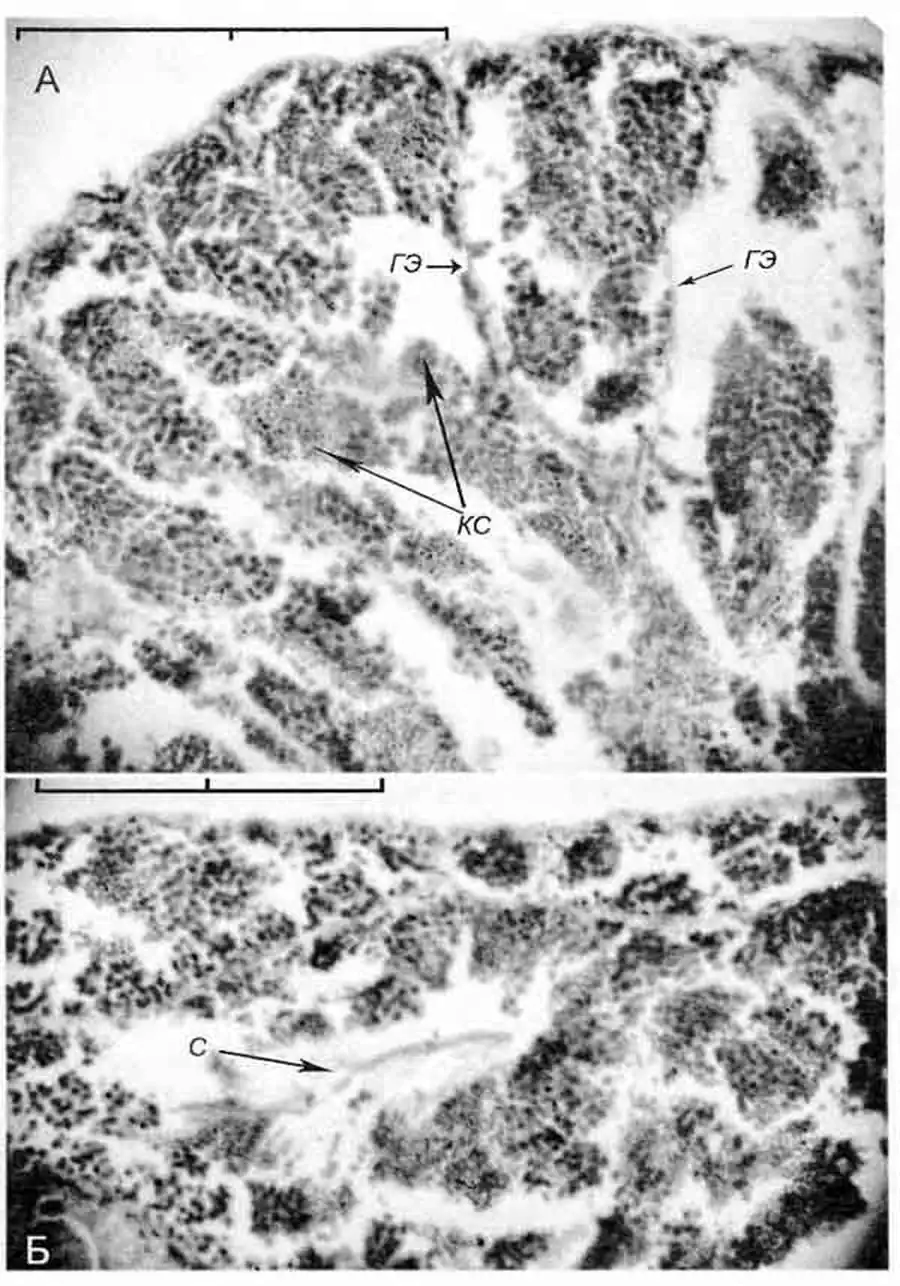
Lithoglyphus naticoides
 
Lithoglyphus naticoides (C. Pfeiffer) (H 8,1 мм; 14.06.2004): А и Б - фрагменты поперечных срезов через семенник; ГЭ - стенки ацинусов (герминативный эпителий); КС - кластеры клеток, находящихся на разных стадиях сперматогенеза; С - сперматозоиды. Масштабные линии - 200 мкм