Капсульная железа Theodoxus fluviatilis

 

Капсульная железа Theodoxus fluviatilis
 
Вагина открывается в полость мантии вблизи от анального отверстия и собственно женского отверстия. Стенки органа составлены умеренно высоким призматическим эпителием, среди которого есть мукоидные клетки. Под опорной пластинкой и небольшим количеством рыхлой соединительной ткани залегает достаточно мощный слой мускулатуры (главным образом, кольцевых мышц).
 
Theodoxus fluviatilis (Linnaeus)
 
Theodoxus fluviatilis (Linnaeus) (D 8,5 мм, 14.06.2004): фрагменты поперечных срезов через бурсу (А) и ее стенку (Б); ЖК железистые клетки; КС - клетки внешней стенки органа; ПО - полость бурсы; РСТ рыхлая соединительная ткань; СВ - соединительнотканные волокна; СМ - стенка мантии. Масштабные линии - 200 мкм (А) и 25 мкм (Б)
 
Theodoxus fluviatilis (Linnaeus)
 
Theodoxus fluviatilis (Linnaeus) (D 8,5 мм, 14.06.2004): A - поперечный срез через средний участок капсульной железы, Б - фрагмент среза через основной железистый участок органа при большем увеличении; БЖ- белковая железа; ЖК- железистые клетки; ЖТ- железистые тубулы органа; КС- капли секрета в полости тубулы (ПТ); ПО - полость капсульной железы. Масштабные линии - 200 мкм (А) и 50 мкм (Б)
 
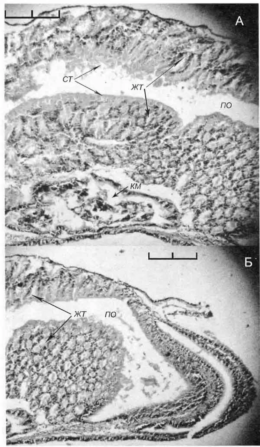
Theodoxus fluviatilis (Linnaeus)
 
Theodoxus fluviatilis (Linnaeus) (D 8,5 мм; 14.06.2004): А и Б - фрагменты поперечных срезов через дистальные участки капсульной железы; ЖТ - железистые тубулы; КМ - кристаллический мешочек; ПО - полость матки; СТ - секреты железистых клеток в полости органа. Масштабные линии -200 мкм
 
Капсульная железа fluviatilis [Lenssen, 1899: uterus — матка, Fretter, 1946: capsule gland] самый крупный орган женской половой системы (рис. 19, 20). Она располагается среди паренхиматозной ткани мантии и состоит из двух долей - правой и левой в проксимальном участке, а позднее соответственно спинной и брюшной по положению. Дорзо-вентральный поперечник не содержащего яйцевой капсулы органа в самой широкой части составляет примерно 800-850 мкм, его ширина достигает на срезах 1480 мкм (почти 1,5 лт). Внутренняя полость капсульной железы (без яйцевой капсулы в ней) щелевидная, сначала прямая, а затем С-образная. Основная часть толстых стенок субэпителиальные железы, сгруппированные в тубулы (рис. 19, Б). Их узкие протоки, открывающиеся в полость органа, заполнены нитями из «бусинок» - крошечных капелек плотного секрета.