Расположения органов женской половой системы Theodoxus fluviatilis
Диаметр разных участков ацинусов на гистологических срезах от 110 до 270 мкм. Внутри них, непосредственно на герминативном эпителии, близко один к другому располагаются оогонии и ооциты разных стадий зрелости. Прямую связь со стенкой ацинуса (своим широким основанием или хотя бы через тонкую «ножку») каждый ооцит сохраняет на протяжении всего цикла своего развития.
В проксимальной части ацинуса (ближе к стенке тела) располагаются мелкие гениальные клетки, далее следуют ранние ооциты, а непосредственно рядом с гепатопанкреасом - крупные ооциты, находящиеся в стадии вителлогенеза или уже готовые к овуляции. Таким образом, оогенез асинхронный и нужно предполагать смещение ооцитов по мере их созревания к выходу из ацинуса. Оогонии и ранние ооциты, как правило, имеют овальную или каплевидную, иногда дисковидную форму, контактируя с герминативным эпителием значительной поверхностью. На гистологических срезах размеры самых мелких клеток (вступающих в стадию первичного роста) от 20 х 11 мкм при ядре 9,8 х 8,2 мкм. Ооциты, недавно вступающие в вителлогенез, имеют размеры (45-60) х (27-35) мкм при ядре (20-29) х (17-24) мкм. В ядрах последующих стадий хорошо просматриваются 2 ядрышка диаметром 7,7 х 5,2 мкм каждый. Постепенно размеры ядра возрастают до 24 х 39 мкм. Зрелые ооциты отличаются крупными размерами (120-145 мкм в диаметре), неправильной формой (обычно мешковидные) и внутренней структурой: почти весь их объем занят разного размера, но в целом мелкими каплями (до 5-8 мкм в диаметре) запасных питательных веществ (при гематоксилин-эозиновой окраске яркорозовых). Ядро имеет диаметр 16-19 мкм и заметно смещено к апикальной стенке. Число зрелых ооцитов по сравнению с другими клетками оогенеза заметно возрастает по мере смещения по ацинусу в направлении к яйцеводу.

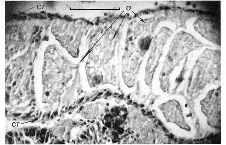
Theodoxus fluviatilis (Linnaeus) (D 8,5 мм; 14.06.2004): фрагмент среза через яйцевод; О - ооциты в полости канала; СТ - стенка яйцевода. Масштабная линия - 100 мкм
Theodoxus fluviatilis (Linnaeus): общий план расположения органов женской половой системы [по: Fretter, 1946, с небольшими изменениями]; 6 - бурса; бж - белковая железа; в вагина; кж - капсульная железа; км - кристаллический мешочек; ов отверстие вагины; о к - отверстие кристаллического мешочка; см — семяприемник; я - яйцевод; 9 - женское половое отверстие. Масштабная линия - 0,3 мм
В основании и на поверхности ооцитов, по размерам приближающихся к вителлогенирующим клеткам, можно отыскать мелкие клетки, похожие на фолликулярные; на отдельный участках поверхности ооцитов удается увидеть подобие дополнительной тонкой оболочки, отделяющей клетки от полости ацинуса. Вместе с тем здесь с полной уверенностью нельзя утверждать, что оогенез алиментарного типа, скорее наоборот солитарного: четкой фолликулярной оболочки (как, например, у легочных моллюсков или у видов семейства Valvatidae) не обнаружено.