Половой аппарат Theodoxus fluviatilis

 

Половой аппарат Theodoxus fluviatilis
 
Семяпровод впадает в дистальную часть сильно развитого железистого комплекса. Он располагается в крыше мантийной полости сначала слева и по центру, а ближе к концу справа, над задней кишкой, и открывается возле (выше) анального отверстия.
Общая его длина у крупных особей составляет 3,5-5,2 мм, ширина -1,5-2,7 мм. Первоначально Джильсон [Gilson, 1896] весь этот комплекс назвал простатой, что поддержали сначала Ланг [Lang, 1900] и позднее Фреттер [Fretter, 1946]. Наоборот, Ленссен [Lenssen, 1899], а затем и Бурн [Bourne, 1908] разделили его на два самостоятельных органа. Последний из авторов простатой назвал лишь заднюю часть комплекса. С его мнением следует согласиться, учитывая различия в гистологическом строении и, соответственно, в функциях этих двух участков.
 
Theodoxus fluviatilis (Linnaeus)
 
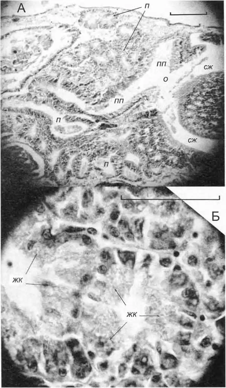
Theodoxus fluviatilis (Linnaeus) (D 10,7 мм; 20.06.2004): фрагменты поперечных срезов через проксимальную часть простатической железы (А) и через тубулы органа (Б); ЖК - железистые клетки; П - тубулы простаты; ПП - протоки простаты; СЖ - полость сперматофорной железы. Масштабные линии - 200 мкм (А) и 50 мкм (Б)
 
Собственно простатическая железа [Lenssen, 1899 glande annexe -добавочная железа; Bourne, 1908. prostatic gland], вырабатывающая жидкость, поддерживающую фертильность и, возможно, активизирующую сперму, - задняя, а затем преимущественно правая часть комплекса. Эта сложная альвеолярно-трубчатая железа состоит из слепозамкнутых мешочков, по-разному (где плотно, где рыхло) уложенных среди соединительной ткани и даже проникающих внутрь выростов сперматофорной железы. Внутренние полости сравнительно узкие, щелевидные - 20-40 мкм и лишь местами (в дистальной части) расширяются до 105 мкм. Стенка каждой дольки построена из высокопризматического эпителия, опирающегося на тонкую базальную пластинку Высота клеток от 12-25 до 40—45 мкм, реже до 60 мкм. Среди них преобладают железистые клетки; ресничные клетки встречаются реже. Первые из них имеют высоту до 42-45 мкм и толщину 7-9 мкм; максимальный диаметр их слабо овальных ядер - до 13 мкм, при этом основную часть ядра занимает крупное ядрышко с диаметром 3-5 мкм. Ядро располагается обычно в основании клетки, реже в её средней части. В цитоплазме железистых и клеток в период функционирования имеются многочисленные мелкие округлые вакуоли со светлым секретом. Ресничные клетки в базальной части узкие, в апикальной клиновидной формы, с интенсивно окрашивающейся цитоплазмой и палочковидными ядрами. Работа ресничек обеспечивает удаление секретов из протоков.